Lesión de las 3 arterias en un paciente de 90 años: manejo y decisiones

Lesión de las 3 arterias en un paciente de 90 años: manejo y decisiones

Publicado el 11 de febrero de 2026 Sara Almahano

Contexto clínico: cardiopatía isquémica crónica y antecedentes del paciente

El paciente en cuestión es un hombre de 90 años con un historial de cardiopatía isquémica crónica. A lo largo de su vida, ha requerido la colocación de stents en varias arterias coronarias, incluyendo la descendente anterior (DA), la primera marginal y la coronaria derecha. Estos antecedentes reflejan una larga lucha contra la enfermedad coronaria, lo que complica aún más el manejo de su condición actual.

Antecedentes coronarios y stents previos

La colocación de stents en el pasado indica que el paciente ha experimentado episodios significativos de obstrucción arterial. Estos procedimientos previos han sido necesarios para restablecer el flujo sanguíneo y mitigar los síntomas de la cardiopatía. Sin embargo, la presencia de múltiples stents también sugiere una progresión continua de la enfermedad, lo que plantea desafíos adicionales en su tratamiento actual.

Motivo de consulta: angina inestable

El paciente acude a Hemodinámica de Sant Pau debido a episodios de angina inestable. Esta condición se caracteriza por un dolor torácico repentino y severo, que indica una reducción crítica del flujo sanguíneo al corazón. La angina inestable es una señal de alarma que requiere una evaluación urgente para prevenir complicaciones mayores, como un infarto de miocardio.

Procedimiento en Hemodinámica de Sant Pau: cateterismo por radial derecha

El equipo médico decide realizar un cateterismo a través de la arteria radial derecha. Este procedimiento es menos invasivo y permite una rápida recuperación, lo cual es crucial en pacientes de edad avanzada. Durante el cateterismo, se evalúa el estado de las arterias coronarias para determinar el alcance de las obstrucciones y planificar el tratamiento adecuado.

Acceso radial derecha y técnica empleada

El acceso por la radial derecha es una técnica preferida en muchos casos debido a su menor riesgo de complicaciones hemorrágicas. En este paciente, se utilizó esta técnica para minimizar el impacto del procedimiento en su frágil estado de salud. La elección de este acceso también facilita una recuperación más rápida, lo cual es beneficioso para su calidad de vida.

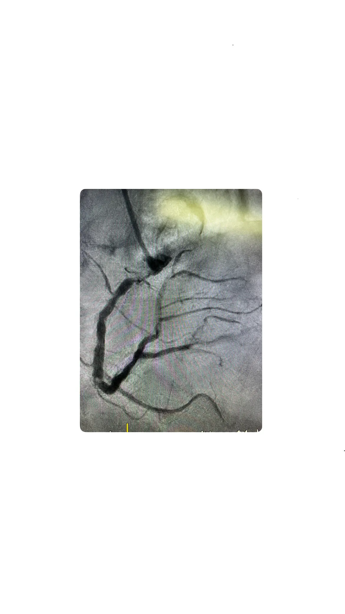
Hallazgos angiográficos: lesión de las 3 arterias

Los hallazgos angiográficos revelaron una lesión crítica en las tres arterias coronarias principales. La arteria coronaria derecha estaba casi ocluida a nivel osteal, mientras que la descendente anterior mostraba un deterioro significativo. Estos resultados confirman la gravedad de la enfermedad coronaria en el paciente y la necesidad de una intervención cuidadosa.

Discusión con el equipo de la coro: opciones de revascularización limitadas

Dada la complejidad del caso, se llevó a cabo una discusión con el equipo de la coronaria para evaluar las opciones de revascularización. Sin embargo, las posibilidades eran limitadas debido a la edad avanzada del paciente y la falta de buenos lechos vasculares para realizar un bypass coronario. Estas limitaciones obligaron al equipo a considerar alternativas menos invasivas.

Evaluación de la posibilidad de bypass coronario

El bypass coronario fue considerado, pero rápidamente descartado debido a la falta de lechos vasculares adecuados y la avanzada edad del paciente. La cirugía en personas de 90 años conlleva riesgos significativos, y en este caso, los beneficios potenciales no superaban los riesgos asociados.

Impacto de la edad y criterios para cirugía

La edad del paciente es un factor crítico en la toma de decisiones quirúrgicas. A los 90 años, el riesgo de complicaciones postoperatorias es elevado, y la recuperación puede ser prolongada y difícil. Estos factores, junto con la falta de lechos vasculares adecuados, hicieron que la cirugía no fuera una opción viable.

Por qué no siempre la solución es poner más stents

Aunque la colocación de más stents podría parecer una solución lógica, no siempre es la mejor opción. En este caso, la complejidad de las lesiones y la condición general del paciente sugieren que un enfoque más conservador podría ser más beneficioso. La calidad de vida y la estabilidad del paciente deben ser priorizadas sobre intervenciones agresivas.

Decisión final: tratamiento médico como única opción viable

Finalmente, se decidió que el tratamiento médico sería la única opción viable para este paciente. Ajustar la medicación y establecer objetivos terapéuticos claros se convirtió en el enfoque principal para manejar su condición. Este enfoque busca mejorar los síntomas y mantener la estabilidad del paciente sin someterlo a procedimientos invasivos.

Ajuste de la medicación y objetivos terapéuticos

El ajuste de la medicación es crucial para controlar los síntomas de la angina y mejorar la calidad de vida del paciente. Los objetivos terapéuticos incluyen la reducción de episodios de angina, la mejora de la capacidad funcional y la prevención de eventos cardiovasculares mayores. Este enfoque personalizado se adapta a las necesidades específicas del paciente.

Calidad de vida frente a intervencionismo agresivo

En pacientes de edad avanzada, la calidad de vida debe ser una consideración primordial. En lugar de optar por intervenciones agresivas que pueden no ofrecer beneficios significativos, el enfoque en el manejo médico busca proporcionar estabilidad y confort. Este enfoque respeta la dignidad del paciente y su deseo de mantener una vida lo más normal posible.

Rol de enfermería y educación sanitaria al paciente

El rol de enfermería es fundamental en la educación sanitaria del paciente y en el acompañamiento emocional durante este proceso. La enfermería no solo se encarga de explicar el pronóstico y las limitaciones del tratamiento, sino que también juega un papel clave en mejorar la adherencia al tratamiento y en el manejo de los síntomas.

Explicar el pronóstico y las limitaciones del tratamiento

Es esencial que el paciente comprenda el pronóstico de su enfermedad y las limitaciones del tratamiento médico. La enfermería debe comunicar de manera clara y compasiva la realidad de su condición, ayudando al paciente a establecer expectativas realistas y a tomar decisiones informadas sobre su cuidado.

Educación sanitaria para mejorar adherencia y síntomas

La educación sanitaria es vital para mejorar la adherencia al tratamiento y aliviar los síntomas. A través de la educación, el paciente puede entender la importancia de seguir el régimen de medicación y adoptar hábitos de vida saludables. Esto no solo mejora su bienestar físico, sino que también empodera al paciente en el manejo de su propia salud.

Acompañamiento emocional en decisiones complejas

El acompañamiento emocional es crucial cuando se enfrentan decisiones complejas sobre el tratamiento. La enfermería proporciona apoyo emocional, ayudando al paciente a lidiar con la ansiedad y el estrés asociados con su condición. Este apoyo es esencial para mantener la moral del paciente y fomentar una actitud positiva hacia el tratamiento.

lesion de las 3 arterias
🍪 Usamos cookies para mejorar tu experiencia. Ver política.