Hemodinámica cardiaca: caso real de reestenosis de stent guiada por OCT

Hemodinámica cardiaca: caso real de reestenosis de stent guiada por OCT

Publicado el 23 de febrero de 2026 Sara Almahano

Valoración inicial en urgencias: dolor torácico y activación preferente

El caso que nos ocupa es el de un hombre que llegó a urgencias presentando dolor torácico. Debido a la gravedad de los síntomas, se activó como un caso preferente. Sin embargo, no se trató de un código IAM, ya que no había una elevación clara del segmento ST en el electrocardiograma. A pesar de esto, la clínica y la presencia de troponinas indicaron la necesidad de realizar un cateterismo para evaluar su estado cardiovascular.

Por qué no es un código IAM pese al dolor torácico

A pesar del dolor torácico, el electrocardiograma no mostró una elevación del segmento ST, lo cual es un criterio clave para activar un código IAM. Sin embargo, la presencia de troponinas y los síntomas del paciente justificaron la realización de un cateterismo para descartar otras complicaciones cardiovasculares.

Indicaciones para derivar a la clínica de hemodinámica

La clínica hemodinámica se convierte en una opción necesaria cuando los síntomas y las pruebas iniciales sugieren una posible complicación cardiovascular. En este caso, la combinación de dolor torácico y niveles elevados de troponinas fueron indicativos para derivar al paciente a hemodinámica para una evaluación más detallada.

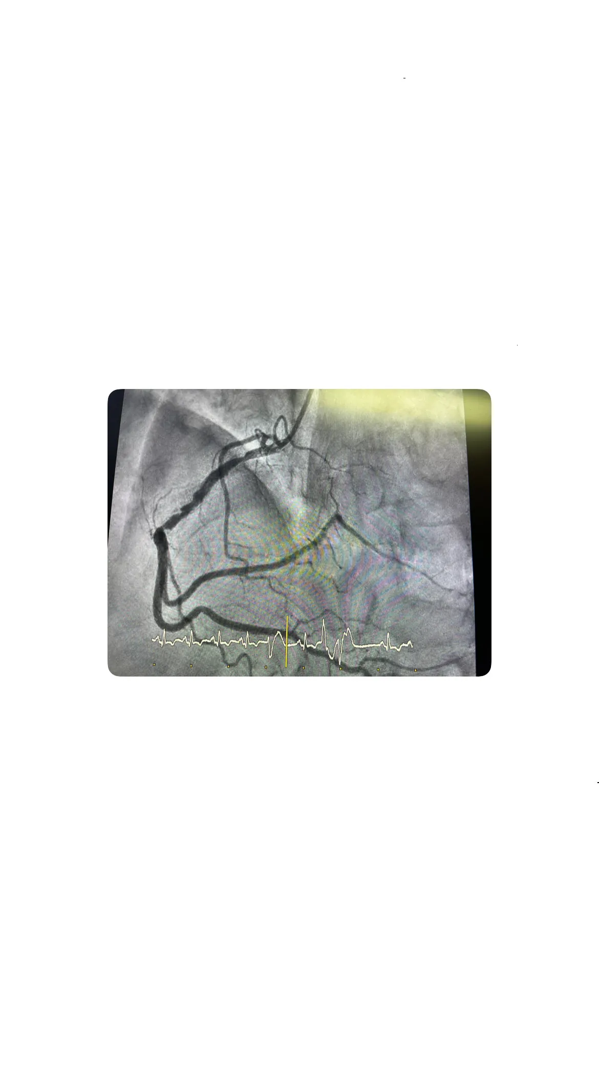
Cateterismo en hemodinámica cardiovascular: hallazgos del caso

Durante el cateterismo realizado en la unidad de hemodinámica cardiovascular, se descubrieron detalles importantes sobre el estado del paciente. Este hombre, procedente de Georgia, ya había sido sometido a la colocación de varios stents. El cateterismo confirmó que tenía un stent permeable en la arteria descendente anterior (DEA) y una reestenosis en el stent de la coronaria derecha.

Antecedentes del paciente y stents previos

El paciente había sido sometido previamente a la colocación de varios stents, lo cual es relevante para entender su cuadro clínico actual. La historia de procedimientos anteriores y la presencia de un stent permeable en la DEA proporcionaron un contexto crucial para el diagnóstico y tratamiento de la reestenosis en la coronaria derecha.

Confirmación de stent permeable y reestenosis en la coronaria derecha

El cateterismo confirmó que el stent en la DEA estaba permeable, pero se detectó una reestenosis en el stent de la coronaria derecha. Este hallazgo fue fundamental para decidir el tratamiento adecuado y evitar complicaciones mayores en el futuro.

Uso de OCT en hemodinámica: evaluación de la reestenosis del stent

La técnica de OCT (tomografía de coherencia óptica) fue utilizada para evaluar la reestenosis del stent en este caso. Esta técnica ofrece imágenes de alta calidad dentro de las arterias, lo que facilita una evaluación precisa de la reestenosis y guía el tratamiento adecuado.

Ventajas de la técnica de OCT en la reestenosis

La OCT proporciona imágenes detalladas y de alta resolución, lo que permite una evaluación precisa de la reestenosis. Esta técnica es especialmente útil en casos complejos, ya que ayuda a identificar la extensión y la naturaleza de la obstrucción, facilitando así un tratamiento más efectivo.

Integración de OCT hemodinámica en la práctica diaria

La integración de la OCT en la práctica diaria de la hemodinámica hospital permite mejorar los resultados clínicos. Al ofrecer una evaluación más precisa de las lesiones, esta técnica se ha convertido en una herramienta esencial en la hemodinámica moderna, mejorando la toma de decisiones y los resultados para los pacientes.

Tratamiento de la lesión: predilatación y balón farmacoactivo

El tratamiento de la reestenosis del stent incluyó la predilatación con varios balones y la implantación de un balón farmacoactivo. Este enfoque terapéutico fue bien tolerado por el paciente y resultó en una mejora significativa de su condición.

Predilatación con varios balones

La predilatación con varios balones fue un paso crucial en el tratamiento de la reestenosis. Este procedimiento ayuda a preparar la arteria para la implantación del balón farmacoactivo, asegurando que el tratamiento sea más efectivo y que el flujo sanguíneo se restablezca adecuadamente.

Implantación de balón farmacoactivo y resultado del procedimiento

La implantación del balón farmacoactivo fue exitosa y el paciente toleró bien el procedimiento. Este tipo de balón libera medicamentos que ayudan a prevenir la reestenosis, mejorando así el pronóstico a largo plazo y reduciendo el riesgo de futuras complicaciones.

Rol de enfermería en hemodinámica cardiaca: educación sanitaria al alta

El rol de enfermería en la hemodinámica es fundamental, especialmente en la educación sanitaria al alta. Los enfermeros deben asegurarse de que el paciente comprenda la importancia de seguir rigurosamente la medicación y las indicaciones médicas para evitar complicaciones futuras.

Importancia de la adherencia rigurosa a la medicación

Es crucial que el paciente siga rigurosamente la medicación prescrita para prevenir la reestenosis y otras complicaciones cardiovasculares. La adherencia al tratamiento es esencial para mantener la salud del paciente y evitar eventos adversos que podrían poner en riesgo su vida.

Explicar la gravedad del cuadro y el riesgo vital

El personal de enfermería debe explicar al paciente la gravedad de su cuadro clínico y el riesgo vital asociado a su condición. Comprender la seriedad de su situación puede motivar al paciente a seguir las recomendaciones médicas y a adoptar un estilo de vida más saludable.

Educación sanitaria como parte esencial de la hemodinámica hospital

La educación sanitaria es una parte esencial de la hemodinámica hospital. Proporcionar al paciente la información necesaria sobre su condición y el tratamiento ayuda a mejorar los resultados clínicos y a reducir el riesgo de complicaciones futuras.

Conclusiones del caso clínico de hemodinámica

En conclusión, este caso clínico de hemodinámica destaca la importancia de una evaluación precisa y un tratamiento adecuado de la reestenosis del stent. La utilización de la OCT y la intervención con balón farmacoactivo demostraron ser efectivos, mejorando el pronóstico del paciente. Además, el rol de enfermería en la educación sanitaria es crucial para asegurar que el paciente siga las recomendaciones médicas y evite futuras complicaciones. Este caso subraya la relevancia de la hemodinámica en la medicina moderna y la necesidad de integrar técnicas avanzadas para mejorar la atención al paciente.

🍪 Usamos cookies para mejorar tu experiencia. Ver política.