Caso Real de SCACEST Killip I Inferior: Del Dolor Torácico al Cateterismo Exitoso

Caso Real: SCACEST Killip I: Del Dolor Torácico al Cateterismo Exitoso

Publicado el 6 de febrero de 2026 Sara Almahano

Inicio del cuadro clínico: dolor torácico y llamada al 112

El caso real de SCACEST que nos ocupa comienza con una mujer de 65 años que inicia de forma súbita un dolor torácico de características claramente isquémicas. Se trata de un dolor opresivo, localizado en el centro del pecho, que la paciente describe como una presión intensa que no cede con el reposo y que le genera inquietud, aunque sin llegar a un estado de pánico. La irradiación al brazo izquierdo refuerza la sospecha de un síndrome coronario agudo, y la paciente, consciente de la gravedad potencial de estos síntomas, decide no esperar más y realiza una llamada al 112 para solicitar ayuda urgente.

La activación precoz de los servicios de emergencia es un punto clave en este caso real de SCACEST Killip I inferior, ya que reduce de forma decisiva el tiempo de isquemia miocárdica. La paciente no presenta inicialmente signos de insuficiencia cardiaca ni de shock, lo que encaja con una clasificación Killip I, pero el dolor persistente y la irradiación obligan a considerar el peor escenario posible. Desde el primer momento, la secuencia de actuación se orienta a confirmar el diagnóstico de infarto con elevación del ST y a organizar el traslado rápido a un centro con capacidad de realizar cateterismo urgente.

Atención prehospitalaria: actuación del SEM y primer electrocardiograma

Cuando el SEM llega al domicilio, el equipo sanitario realiza una valoración rápida pero sistemática, centrada en la estabilidad hemodinámica y respiratoria de la paciente. Se constata que mantiene buenas saturaciones de oxígeno al aire ambiente, sin signos de dificultad respiratoria ni taquipnea llamativa, y que la frecuencia cardiaca no está acelerada de forma significativa. Esta estabilidad clínica refuerza la impresión de un SCACEST Killip I, donde el corazón aún mantiene una función de bomba adecuada pese al evento isquémico agudo.

El siguiente paso fundamental es la realización de un electrocardiograma prehospitalario, que en este caso muestra una elevación del segmento ST en las derivaciones D2, D3 y aVF. Este patrón es típico de un infarto de localización inferior, lo que orienta la sospecha hacia una oclusión en la arteria coronaria derecha o, en algunos casos, en la circunfleja. Ante este hallazgo, el SEM activa de inmediato el código infarto, conocido como código YAM, coordinando el traslado directo al hospital de Sant Pau para una angioplastia primaria lo más precoz posible.

Llegada al hospital de Sant Pau y valoración inicial

A su llegada al hospital de Sant Pau, la paciente se encuentra sorprendentemente tranquila, a pesar de la situación potencialmente grave que está viviendo. Continúa con elevación del ST en las caras inferiores, tal y como se había observado en el electrocardiograma realizado por el SEM, pero mantiene unas saturaciones de oxígeno adecuadas sin necesidad de aporte suplementario. No presenta taquicardia ni signos de hipotensión, lo que confirma el perfil de un SCACEST Killip I inferior, con estabilidad hemodinámica y sin datos de congestión pulmonar.

En la sala de hemodinámica, el equipo la traslada a la camilla y procede a una monitorización completa, incluyendo constantes vitales, electrocardiograma continuo y preparación para posibles complicaciones arrítmicas. Como parte del protocolo de código infarto, se colocan de forma sistemática las placas de desfibrilación, ya que en cualquier momento puede aparecer una arritmia maligna que requiera una descarga inmediata. Esta anticipación es esencial para garantizar la seguridad de la paciente durante todo el procedimiento, incluso cuando la situación clínica inicial parece relativamente estable.

Preparación para el cateterismo: monitorización y seguridad

Antes de iniciar el cateterismo, se revisa cuidadosamente el acceso vascular, palpando el pulso radial derecho para confirmar que es adecuado como vía de entrada. La elección del acceso radial derecho como primera opción responde tanto a la experiencia del equipo como a las ventajas en términos de comodidad y menor tasa de complicaciones hemorrágicas. Una vez verificado que el pulso es bueno, se procede a preparar el campo estéril con todas las medidas de asepsia necesarias, minimizando el riesgo de infecciones asociadas al procedimiento.

La monitorización se mantiene en todo momento, con especial atención al ritmo cardiaco y a la presión arterial, ya que cualquier cambio brusco puede indicar una complicación aguda. Paralelamente, se revisa la medicación ya administrada y se planifica la dosis de heparina que se completará durante el cateterismo para asegurar una anticoagulación adecuada. En este contexto, la combinación de una buena preparación técnica, una monitorización estrecha y una actitud preventiva frente a las posibles arritmias convierte el entorno del laboratorio de hemodinámica en un espacio de alta seguridad para la paciente.

Cateterismo cardíaco: hallazgos y estrategia de revascularización

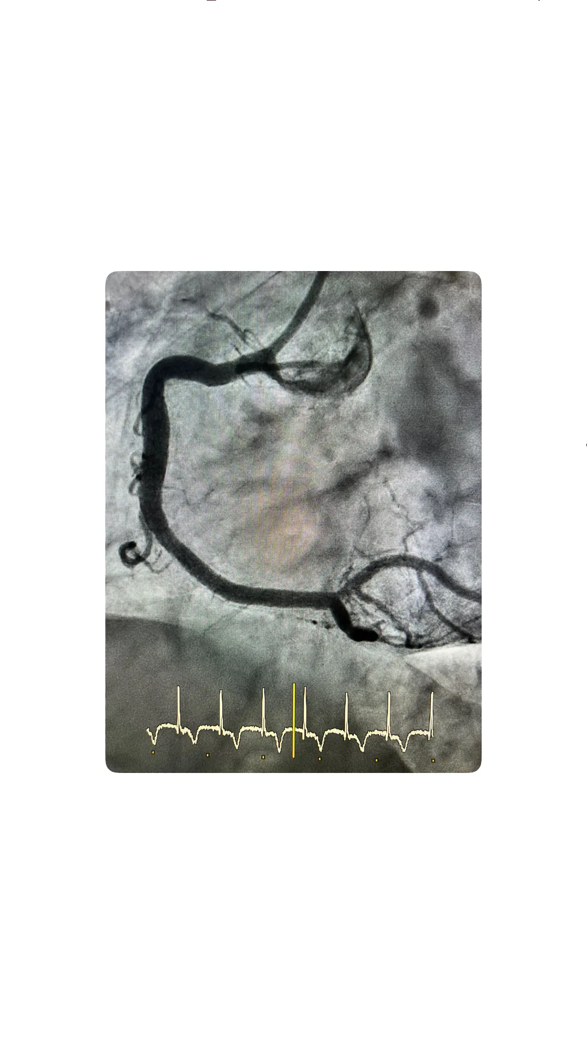
Durante el cateterismo cardíaco, el objetivo principal es identificar la arteria responsable del infarto y restaurar el flujo coronario lo antes posible. En este caso, al avanzar con el catéter y contrastar las arterias coronarias, se observa que la arteria relacionada con el territorio inferior se encuentra ocluida, lo que explica la elevación del ST en D2, D3 y aVF. Este hallazgo confirma de forma anatómica el diagnóstico de un SCACEST inferior y orienta la estrategia de revascularización hacia la apertura mecánica de la lesión mediante angioplastia.

La estrategia elegida combina varias técnicas: paso de guía a través de la oclusión, aspiración del trombo y predilatación con balón antes de la implantación del stent. Esta secuencia permite primero atravesar la lesión, luego reducir la carga trombótica y finalmente preparar la arteria para recibir el stent de forma óptima. Todo el procedimiento se desarrolla con la paciente estable, sin complicaciones hemodinámicas relevantes, lo que contribuye a que se considere un cateterismo sencillo, o como se describe coloquialmente, un cateterismo Killip I, es decir, no complicado.

Acceso radial derecho y hallazgo de oclusión

El acceso radial derecho se realiza tras confirmar un buen pulso y preparar el campo estéril, introduciendo el introductor de forma cuidadosa para evitar espasmos o complicaciones locales. Una vez dentro del sistema arterial, se avanza el catéter hasta las coronarias y se inyecta contraste para visualizar el árbol coronario, observándose claramente la oclusión en la arteria responsable del territorio inferior. Este hallazgo explica tanto el dolor torácico como la elevación del ST en las derivaciones inferiores, y marca el punto de partida para la intervención terapéutica dirigida a restaurar el flujo.

Paso de guía, aspiración de trombo y predilatación con balón

Tras identificar la oclusión, se procede a pasar una guía a través de la lesión, maniobra que requiere precisión para atravesar el segmento trombótico sin provocar disecciones ni complicaciones adicionales. Una vez la guía está bien posicionada, se realiza aspiración del trombo, técnica que en este caso resulta efectiva, logrando retirar material trombótico y mejorar parcialmente el flujo. Posteriormente se lleva a cabo la predilatación con balones, inflándolos en el punto de la lesión para abrir la arteria y preparar el lecho vascular, de modo que el stent pueda expandirse correctamente y asegurar una revascularización óptima.

Recuperación del flujo y normalización del ST en el ECG

Con la aspiración del trombo y la predilatación con balón, la arteria comienza a recuperar el flujo de manera visible en las imágenes angiográficas, pasando de una oclusión completa a un flujo restablecido. Esta mejoría anatómica se traduce de forma casi inmediata en el electrocardiograma, donde la elevación del ST en las derivaciones inferiores empieza a desaparecer, indicando que el miocardio vuelve a recibir sangre oxigenada. La correlación entre la apertura de la arteria y la normalización del ST es uno de los momentos clave del procedimiento, ya que confirma que la estrategia de revascularización está siendo efectiva y que se está limitando el tamaño del infarto.

Implantación del stent y resultado del procedimiento

Una vez conseguida la recuperación inicial del flujo y tras preparar adecuadamente la lesión con la predilatación, se procede a la implantación del stent en la arteria afectada. El stent se posiciona cuidadosamente en el segmento previamente ocluido y se expande con un balón, fijándose a la pared arterial para mantener la luz abierta de forma estable. En este caso, el resultado angiográfico final es satisfactorio, con un flujo coronario adecuado y sin complicaciones inmediatas, lo que consolida el éxito del procedimiento.

La paciente se mantiene estable durante toda la intervención, sin arritmias graves ni deterioro hemodinámico, lo que refuerza la idea de un caso real de SCACEST Killip I inferior manejado de forma rápida y eficaz. El hecho de que el cateterismo haya sido “quilipuno”, es decir, no complicado, no resta importancia a la gravedad potencial del cuadro, pero sí pone de relieve el valor de una actuación coordinada y precoz. Con la arteria abierta y el stent correctamente implantado, el foco pasa a la fase de tratamiento farmacológico y a la educación de la paciente para evitar nuevos eventos.

Manejo farmacológico: heparina y doble antiagregación plaquetaria

Durante el procedimiento se completa la dosis de heparina, asegurando un nivel de anticoagulación adecuado para prevenir la formación de nuevos trombos mientras se manipulan las arterias coronarias. Esta heparinización es especialmente relevante en el contexto de un SCACEST, donde la carga trombótica suele ser elevada y el riesgo de reoclusión es significativo si no se controla de forma adecuada. La heparina, por tanto, actúa como un pilar en la fase aguda, complementando la intervención mecánica realizada en el laboratorio de hemodinámica.

Tras la implantación del stent, se inicia y se refuerza la importancia de la doble antiagregación plaquetaria, que la paciente debe tomar de forma estricta. Esta combinación de fármacos antiagregantes es esencial para evitar que el stent recién colocado se trombose, lo que podría provocar un nuevo infarto en el mismo territorio. En este caso, se insiste en que la adherencia al tratamiento no es opcional, sino una parte fundamental del éxito global del procedimiento, ya que un incumplimiento podría anular en pocas horas todo el beneficio obtenido con la angioplastia.

Educación a la paciente: cuidados posteriores y riesgos si no cumple el tratamiento

Una vez finalizado el cateterismo y con la paciente ya más tranquila, se dedica un tiempo específico a explicarle de forma clara los cuidados que deberá tener a partir de ese momento. Se le detalla la medicación que debe tomar, haciendo especial hincapié en la doble antiagregación y en la necesidad de no suspenderla por iniciativa propia. Se le explica que el stent colocado en su arteria coronaria necesita ese soporte farmacológico para mantenerse permeable y que, si no cumple el tratamiento, existe un riesgo real de que el stent se vuelva a tapar.

Además, se le informa de que una nueva oclusión del stent podría desencadenar otro infarto, potencialmente más grave, con consecuencias importantes para su salud y su calidad de vida. Esta explicación se realiza con un lenguaje comprensible, evitando tecnicismos innecesarios, pero sin minimizar la seriedad de la situación. El objetivo es que la paciente entienda que el caso real de SCACEST Killip I inferior que ha vivido no termina con el alta del hospital, sino que requiere un compromiso activo con su medicación y con los controles posteriores.

Cuidados del acceso radial: pulsera hemostática y tiempos de retirada

En cuanto al acceso radial, se coloca una pulsera hemostática en la muñeca derecha para controlar el punto de punción y evitar sangrados o hematomas importantes. Esta pulsera se ajusta de forma que mantenga la hemostasia sin comprometer por completo el flujo arterial distal, buscando un equilibrio entre seguridad y confort para la paciente. Se programa su retirada aproximadamente a las cuatro horas, una vez se ha completado el efecto de la heparina y se considera que el riesgo de sangrado activo ha disminuido de forma suficiente.

Durante este tiempo, se vigila la zona de punción para detectar cualquier signo de sangrado, inflamación o dolor excesivo, y se comprueba periódicamente el pulso distal para asegurar que la mano mantiene una buena perfusión. La correcta gestión del acceso radial forma parte integral del cuidado global de la paciente, ya que una complicación local podría prolongar el ingreso o generar molestias innecesarias. Al retirar la pulsera, se dan instrucciones sobre cómo mover la muñeca y qué signos de alarma deben motivar una consulta, reforzando así la educación sanitaria en el postoperatorio inmediato.

Ingreso en semicríticos y monitorización en las primeras horas

Tras el procedimiento, la paciente es trasladada a una unidad de semicríticos, donde permanecerá bajo monitorización continua durante las primeras horas. Esta fase es crucial en cualquier código infarto, ya que, aunque la arteria esté abierta y el stent correctamente implantado, el riesgo de arritmias o de inestabilidad hemodinámica sigue siendo elevado en el periodo inmediato. En semicríticos se controlan de forma estrecha la frecuencia cardiaca, la presión arterial, la saturación de oxígeno y el ritmo en el monitor, preparados para actuar ante cualquier cambio brusco.

La estabilidad clínica de la paciente en este caso real de SCACEST Killip I inferior permite un manejo relativamente tranquilo, pero sin bajar la guardia en ningún momento. Se valoran también el control del dolor, la tolerancia a la medicación y la aparición de posibles efectos secundarios, ajustando el tratamiento según la evolución. Estas primeras horas sirven además para reforzar la información dada previamente, resolver dudas y preparar el terreno para el paso a una planta de hospitalización convencional cuando la situación lo permita.

Reflexiones finales sobre el caso real de SCACEST Killip I inferior

Este caso real de SCACEST Killip I inferior ilustra de forma muy clara la importancia de una cadena asistencial bien coordinada, desde la llamada inicial al 112 hasta el ingreso en semicríticos tras el cateterismo. La rapidez en la actuación del SEM, la realización precoz del electrocardiograma y la activación del código YAM han sido determinantes para reducir el tiempo de isquemia y mejorar el pronóstico de la paciente. La estabilidad hemodinámica propia de un Killip I ha facilitado un procedimiento, sin complicaciones, pero no debe hacer olvidar la gravedad potencial del cuadro.

La apertura de la arteria, la normalización del ST y la implantación exitosa del stent son solo una parte de la historia, que se completa con el manejo farmacológico adecuado y la educación rigurosa de la paciente. La doble antiagregación, la vigilancia del acceso radial y la monitorización en semicríticos en las primeras horas son piezas clave de un abordaje integral que va más allá del acto técnico del cateterismo. En conjunto, este caso demuestra cómo un infarto inferior, bien identificado y tratado a tiempo, puede resolverse con un excelente resultado clínico, siempre que la paciente mantenga una buena adherencia al tratamiento y a las recomendaciones posteriores. cardiologia, urgencias

caso real: scacest killip i
🍪 Usamos cookies para mejorar tu experiencia. Ver política.